Case Study – General Restorative Work
Our patient had little past dental treatment as felt nervous & self-concious of her smile.
Veneers and Whitening
This patient is an extremely busy and successful business woman. She has had little dental treatment in the past as is nervous and anxious about coming to see the dentist. So the first step in this case was to build her confidence up and reduce any anxious feelings.
Before we could start the more cosmetic side of her treatment plan we had to stabilize her mouth. This meant working on her back teeth, removing and decaying and redoing any defective fillings.
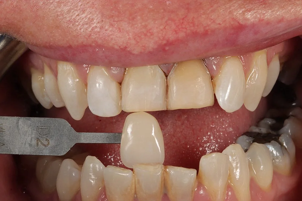
Next came the whitening. If the patient is getting crowns or veneers they last a long time and you wanted them to be natural and white in colour. Once placed though you can’t change this colour so it's easier to whiten your natural teeth to match.
The next step was placing the two veneers on the upper central teeth. The patient wanted these to look as natural as possible.
To find out more about Porcelain Veneers and Teeth Whitening you can choose to book a consultation or call us on 01206 803870.
-
Overall the patient was not happy with her teeth or smile. She didn’t like the appearance of the front teeth, which she believed were darker and uneven in shape.
-
She didn’t like the shape and colour of her front teeth making veneers a good option.
-
Porcelain
-
Yes. Composite bonding was an option for this case. But the patient wanted the length and durability that veneers offer over the composite.
-
It is possible for some cases to see a mock-up. We can show a simulated version of the new teeth in your own mouth so that we are sure that you are happy with the shape, colour and appearance of the proposed new teeth.
-
The final veneers usually take two weeks to be made so temporary ones are required. They also allow you to ‘test drive’ your new smile, to get used to it and make any small adjustments before the final veneers are made. See picture.
-
Veneers look their best for 10-15 years, they last longer and look better in a healthy mouth: good hygiene, regular check-ups, non-smoker and with a low sugar diet.
-
Either pay as you go or finance options to spread the cost up to 36 months.
Get in touch
01206 803870
For more information about Veneers and Teeth Whitening, call on 01206 803870 or book a consultation:

