Case Study – Dentures
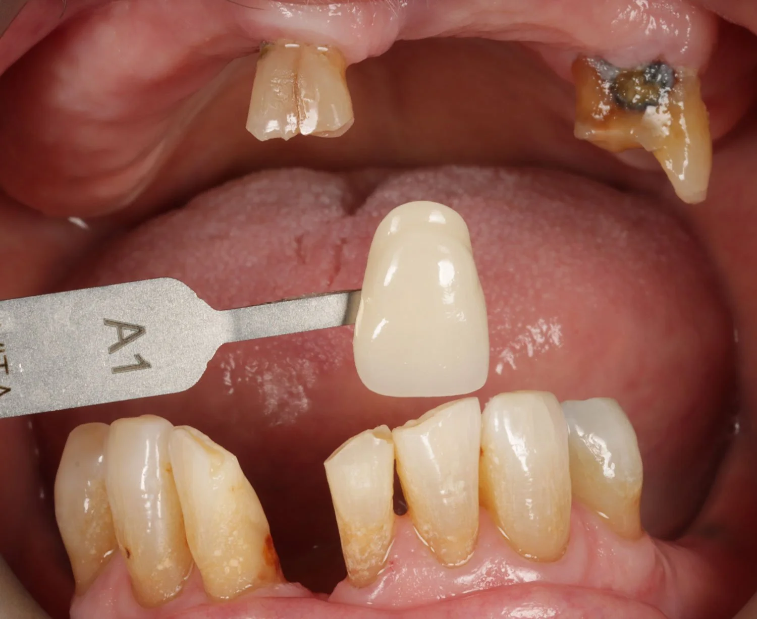
Our patient opted to have two dentures made, one for the upper teeth and one for the lower
Dentures and Whitening
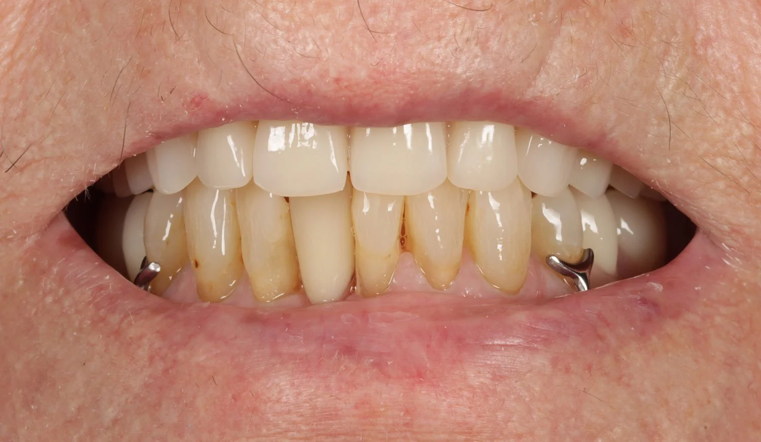
This patient came in wanting to improve her smile and the function of her teeth. She is someone who proves that you are never too old to whiten your teeth!
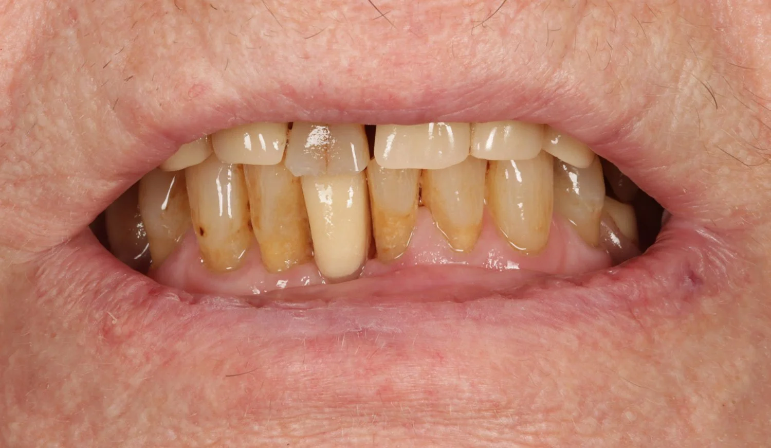
As the dentures will last years the first step is to get her teeth to a good condition, including the colour. This patient did a home whitening course until she got her desired colour. Once done, we took the impressions for the top and bottom and sat down with the patient to talk through the shape and length of the teeth she would like to get a natural look.
To find out more about Dentures and Teeth Whitening you can book a consultation or call 01206 803870.
-
This patient opted to have the two dentures made, one for the upper teeth and one for the lower.
-
Leave as it or dental implants.
-
6 months
-
Yes if they are missing teeth and want to fill the gaps.
-
We have a scheme called Dental Smiles Membership which gives you check-ups and hygienist appointments and 20% off treatments for a small monthly sum.
Or we have 0% finance options for you to pay over 12 months.
These two schemes can be used together.
Get in touch
01206 803870
For more information about Dentures or Teeth Whitening, call on 01206 803870 or book a consultation:

